インプラント・審美治療について

  • ホーム
  • インプラント・審美治療について

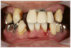
【男性42才】左側顎関節症+上下全顎歯牙欠損

重度歯周病により全ての歯牙を失い、その後全顎インプラント + 審美補綴により治療終了

【治療前】
治療前
【治療後】
治療後

治療過程動画を見る

【男性50才】右側顎関節症+上下全顎歯牙欠損

重度歯周病により全ての歯牙を失い、その後全顎インプラント + 審美補綴により治療終了

【治療前】
治療前
【治療後】
治療後

治療過程動画を見る

このページの先頭へ戻る